Fracture Service 24/7 Accident & Fracture Service

044 - 2650 2100 / 2101 / 2102

No 39, 40, 41, 200 ft Road, Ambedkar Nagar Bus stop, Kolathur, Chennai - 600 099

  • ORTHOPEDICS
  • ADVANCED TRAUMA CARE
  • NEUROSURGERY
  • PLASTIC SURGERY
  • FACIOMAXILLARY, HEAD & NECK SURGERY
  • DEPARTMENT OF ANAESTHESIOLOGY
  • DEPARTMENT OF ICU & CRITICAL CARE

ORTHOPEDICS

Orthopedic surgery has advanced so much in recent times that all major ailments and fractures are surgically curable and repairable, enabling the patient to go back to his/her normal day to day activities as early as possible. Our hospital has an integrated advanced orthopedic and Neuro setup with each sub specialties headed by a experienced specialist.

The hospital runs a round the clock fracture services and is manned by experienced orthopedic surgeons who are available 24/7. Ambulance facility is available and also blood storage facility. A system is in place to manage emergency head injury and fracture patients, so that they can be taken up for emergency surgeries if necessary. Neurovascular injuries are managed by experienced Neuro and vascular surgeons.

Knee and Hip replacements surgeries are routinely done in this hospital under different categories and Packages. Joint replacement team is headed by Dr.P.Elangovan M.S, Mch Ortho, who has more than 1000 joint replacement surgeries to his credit and is a vastly experienced surgeon and uses both European and American implants. Staggered bilateral knee replacement is the standard practice in this hospital.

For enquires about the packages and info about replacement surgeries, please contact Dr.Venkatesa Prasad at 9884146226 or mail him at prasad@fororthohospital.in.

  • Total Hip Replacement

  • Total Knee Replacement

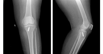
Arthroscopic surgery or key hole surgeries are done for sports injuries and ligament injuries. The team is headed by Dr V Karthi Sundar MBBS, DNB(Ortho), D(Ortho), MNAMS, MCh Ortho(UK), Reg. in Ortho Spine(CMC, Vellore), Diploma in Tissue Banking (NUS, Singapore), Fellow in Arthroscopy & Sports Surgery (SGH, Singapore). The surgery involves minimal invasive techniques and concentrates on reducing the hospital stay for the patient. The surgery is done using advanced and precise instrumentation through small key sized holes, hence the name. Isolated ligament injuries of the knee are treated by this technique in this hospital.

For enquires about the packages and info about replacement surgeries, please contact Dr.Venkatesa Prasad at 9884146226 or mail him at prasad@fororthohospital.in.

  • ARTHROSCOPIC SURGERY

Surgery for Fractures of spine, disc prolapse and vertebroplasty are done on a regular basis in this hospital. Vertebroplasty is done for severely osteoporotic spine fractures. The team is headed by Dr.D.R.Shankar M.S., Mch.,(Neuro). Micro invasive spine surgery is also done here and the hospital has the good reputation for spine surgery. Our complication rate in spine surgery is one of the lowest in Chennai.
  • SPINE SURGERY

Deformity Correction surgery is done for spine and mal united deformed long bones due to neglected or native treatment. Scientific methods and techniques are used in correction of spinal deformities, including congenital kyphoscoliosis, cubitus varus deformity of elbow, FFD correction and CTEV correction.

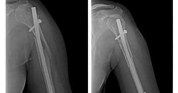
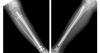
ADVANCED TRAUMA CARE

In any Trauma care center to receive and resuscitate the patient and to save life is our first priority. Saving the limb and other important organs is the next priority.

The hospital follows the principle of Triage, where by the patients are segregated by the surgeons as to have life threatening, limb threatening and other injuries depending on the type of injury, and are given treatment priority as the situation demands. To achieve this, a well-equipped intensive care unit and properly trained surgeons, anesthetists & Paramedical staffs are available, round the clock. Advance techniques in body warming, Sequential compression device, Alpha beds, and remote controlled ICU cots are available keeping the patients comfort in mind. Defibrillators, Ventilators, ABG analyzers, Cardio machine etc., are available to diagnose and prevent major complications.

  • Trauma Surgery

  • Trauma Surgery

  • Trauma Surgery

  • Trauma Surgery

NEUROSURGERY

In any trauma care center Neuro surgical management plays a crucial role, and the hospital has 24hours on call Neuro surgeon and Anesthetist to manage life threatening head injuries due to Accident and Trauma. The hospital is equipped with neurosurgical ICU with trained paramedical staff available 24 hours. The hospital is equipped with CT scan facility to evaluate and manage head injury patients as quickly as possible since time is of paramount importance in these situations. The Neuro surgical unit is headed by Dr. Shankar M.ch Neuro and his team who have a vast experience in Neuro surgical trauma.

Hospital has 2 ventilators and well trained staff to manage post-operative Neuro surgical patients

PLASTIC SURGERY

The hospital has a streamlined and experienced plastic surgery team to manage high velocity trauma with neurovascular injury, tendon injury and skin loss. Primary SSG and Flap cover is routinely done in this hospital for deserving patients and emergency tendon repair and neurovascular injuries are managed by plastic and vascular surgeons.

Replantation of limbs is also done in deserving cases.

    The hospital specializes in

  • HAND & MICROVASCULAR SURGERY
  • COSMETIC SURGERY
  • SOFT TISSUE RECONSTRUCTION
  • Thumb Replant

  • Lower Third linear defect

  • Free Flap

  • Reconstructive Micorsurgery

  • Around ankle defect

  • Free Flap

FACIOMAXILLARY, HEAD & NECK SURGERY

Facio maxillary surgery and management of facio maxillary injuries form an integral part of any trauma Centre. 24/7 on call facio maxillary surgeon is available.

The department is headed by Dr. SethuRajan MDS Oro facio maxillary Surgery, who is a vastly experienced surgeon and is in an expert in the management of the following treatments

  • FACIAL BONE RECONSTRUCTION
  • TUMOURS OF HEAD AND NECK
  • DEFORMITY CORRECTIONS

DEPARTMENT OF ANAESTHESIOLOGY

A well-equipped operating theatre under a good and experienced anesthetist is crucial for a good surgical out come and recovery, hence extreme care has been taken to have two well-equipped operating theatres keeping in mind the advanced surgeries being done in this hospital. The department is headed by Dr.S. Balachandran M.D., (Anaesthesiology, AIIMS) DNB., who has vast experience in this field. He has been serving the hospital for the past seven years.

DEPARTMENT OF ICU & CRITICAL CARE

Intensive care unit and management of critically ill patients is the most important and crucial part of management in Orthopedic and Trauma care centre. A well-equipped ICU with adequate number of ventilator support is mandatory. A well trained critical care team is headed by Dr.M. Bharthkumar DNB., MHSC.,(Anesthesia) who has a reputation as a good critical care intensivist

If you are a patient seeking quality healthcare at affordable cost!

Make An Appoinment